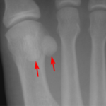
Each person has two sesamoid bones in each foot, located in the ball of a person’s foot, underneath their big toe joint. These two pea-sized bones are embedded in a specific tendon and help act as a pulley for the tissue when you flex or curl you big toe. They also help to handle stress […]
How To Treat A Sesamoid Fracture In Your Foot
Your sesamoid bones are a small section of bones that are embedded in a tendon in your foot. More precisely, they are two pea-sized bones that are located in the ball of a person’s foot, beneath their big toe joint. They act as pulleys for the tendons and help a person flex and curl their […]
